Did you know that back in the day, school dental clinics in NZ used to be called the “murder house”?
Yes, it sounds dramatic now, but it gives you an idea of how different dentistry used to be. And, it wasn’t just dental nurses.
"Drill and fill” used to be the norm for ALL dentistry
This more invasive approach was known as known as “extension for prevention”
If there was a small cavity on the surface of a tooth, instead of just treating that specific spot, dentists would drill out a larger section of the tooth’s fissures (the grooves on the biting surface).
The idea was to:
Prevent future decay in those areas
Reduce the risk of decay coming back around the original filling
but it meant removing a lot more tooth than we would today.
Here’s a couple more reasons why there used to be a lot more drilling going on:
Silver fillings were pretty much your only choice
Before modern white (resin or composite) fillings, your main option was amalgam (also known as silver fillings). Unlike today’s fillings, amalgam can’t be “glued” directly to the tooth. Instead, it relies on the shape of the cavity to stay in place.
This meant the tooth had to be drilled in a specific way to “lock” the filling in, similar to how a dovetail joint works in woodwork. This of course meant more healthy tooth had to be removed.
2. No digital radiographs (x-rays)
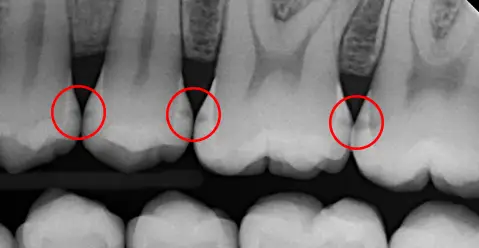
Having access to radiographs (x-rays) is very important in diagnosing early decay. Back in the day, you couldn’t take a digital radiograph and work out exactly what was happening inside the tooth then and there in the dental surgery. Instead, the x-ray film had to be sent away to be developed – similar to old photos. This meant that on the day, dentists had to rely more on what they could see in the mouth and the patient’s symptoms.
Fast forward to today, where minimally invasive dentistry is the norm. This approach is all about watching and preventing.
The strongest tooth is one that hasn’t been drilled at all
Newsflash: fillings don’t last forever.
White (resin) fillings typically last 5-10 years
Silver (amalgam) fillings last longer, but place you more at risk of developing cracks in the tooth
Every time a filling needs to be replaced, a little more of the tooth is removed to prepare the new one. Over time, a small childhood cavity can turn into something much bigger, sometimes even needing a crown or root canal later in life.
Instead of picking up the drill, modern dentistry focuses much more on early detection and prevention
This includes:
Catching decay early, often with the help of radiographs (x-rays), because early decay isn’t always visible to the eye.
A “wait and see” approach: If decay hasn’t yet formed a hole, dentists may monitor it rather than immediately drilling.
Remineralisation: This means helping minerals go back into tooth enamel to strengthen it and stop early decay from progressing.
One of the most effective ways to support remineralisation is... fluoride!
Fluoride helps strengthen enamel and makes teeth more resistant to decay, which is why it’s still a key part of modern preventative dentistry.
Your dentist’s goal today isn’t just to fix problems, it’s to stop them from happening (or getting worse) in the first place.
Why dentists don’t drill like they used to
Did you know that back in the day, school dental clinics in NZ used to be called the “murder house”?
Yes, it sounds dramatic now, but it gives you an idea of how different dentistry used to be. And, it wasn’t just dental nurses.
"Drill and fill” used to be the norm for ALL dentistry
This more invasive approach was known as known as “extension for prevention”
If there was a small cavity on the surface of a tooth, instead of just treating that specific spot, dentists would drill out a larger section of the tooth’s fissures (the grooves on the biting surface).
The idea was to:
but it meant removing a lot more tooth than we would today.
Here’s a couple more reasons why there used to be a lot more drilling going on:
Silver fillings were pretty much your only choice
Before modern white (resin or composite) fillings, your main option was amalgam (also known as silver fillings). Unlike today’s fillings, amalgam can’t be “glued” directly to the tooth. Instead, it relies on the shape of the cavity to stay in place.
This meant the tooth had to be drilled in a specific way to “lock” the filling in, similar to how a dovetail joint works in woodwork. This of course meant more healthy tooth had to be removed.
2. No digital radiographs (x-rays)
Having access to radiographs (x-rays) is very important in diagnosing early decay. Back in the day, you couldn’t take a digital radiograph and work out exactly what was happening inside the tooth then and there in the dental surgery. Instead, the x-ray film had to be sent away to be developed – similar to old photos. This meant that on the day, dentists had to rely more on what they could see in the mouth and the patient’s symptoms.
Fast forward to today, where minimally invasive dentistry is the norm. This approach is all about watching and preventing.
The strongest tooth is one that hasn’t been drilled at all
Newsflash: fillings don’t last forever.
Every time a filling needs to be replaced, a little more of the tooth is removed to prepare the new one. Over time, a small childhood cavity can turn into something much bigger, sometimes even needing a crown or root canal later in life.
Instead of picking up the drill, modern dentistry focuses much more on early detection and prevention
This includes:
One of the most effective ways to support remineralisation is... fluoride!
Fluoride helps strengthen enamel and makes teeth more resistant to decay, which is why it’s still a key part of modern preventative dentistry.
Your dentist’s goal today isn’t just to fix problems, it’s to stop them from happening (or getting worse) in the first place.
Did you know this?